FOR DOCTORS
Australia
USA / Canada
WHY ANGEL?
RESULTS
HOW IT WORKS
SMILE FACTS
See the Results
Angel Aligner Case Results with Complex Movements
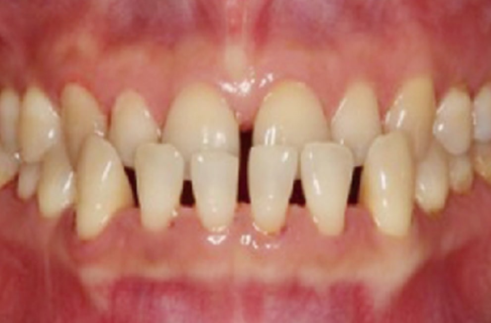
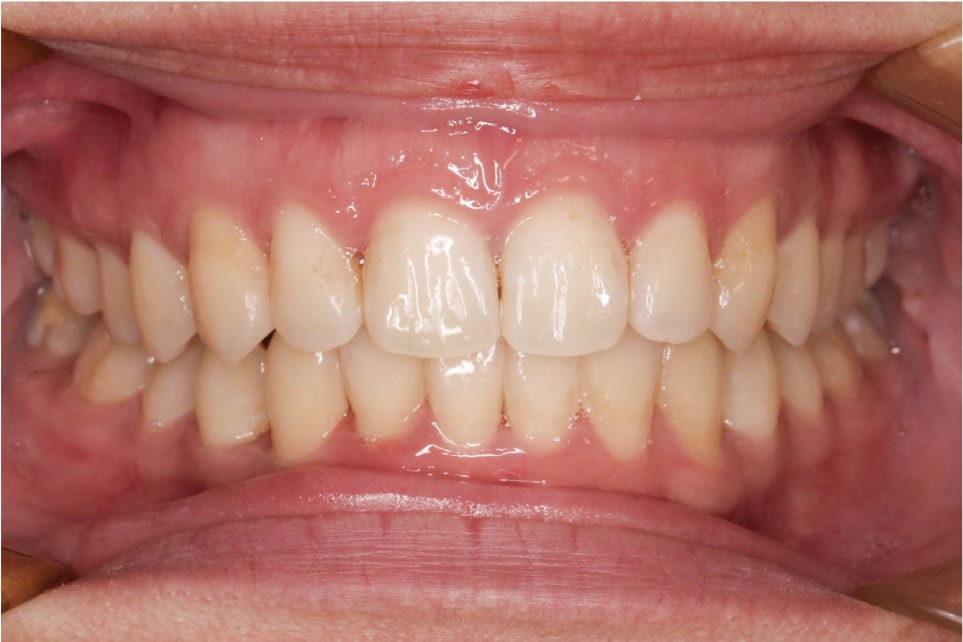
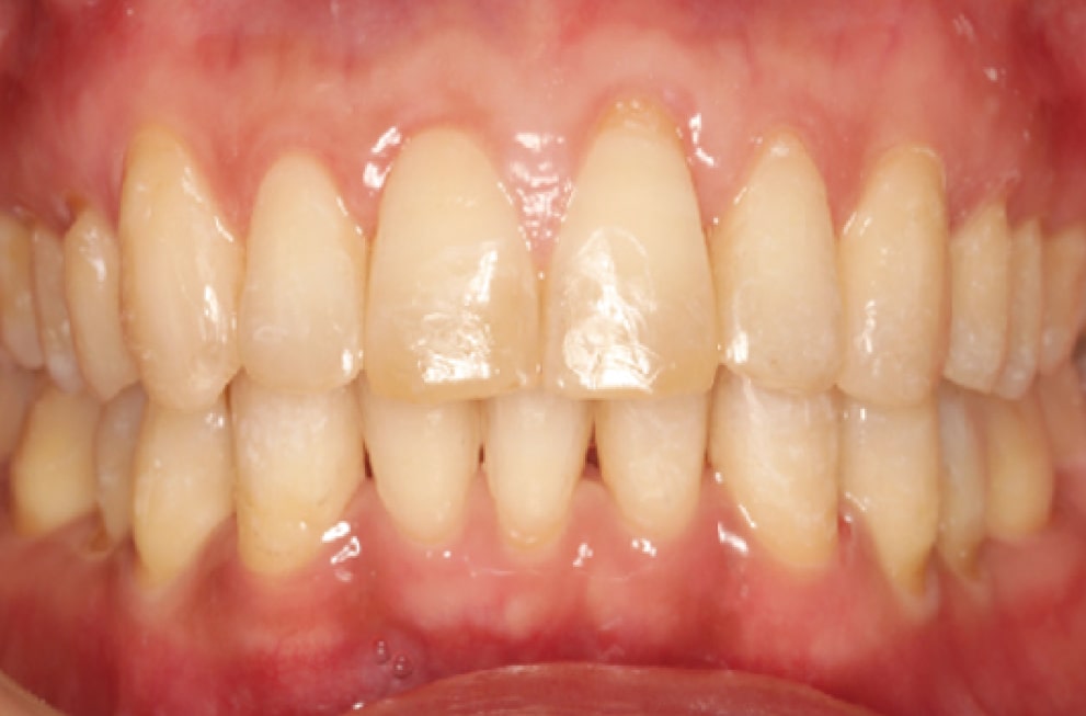
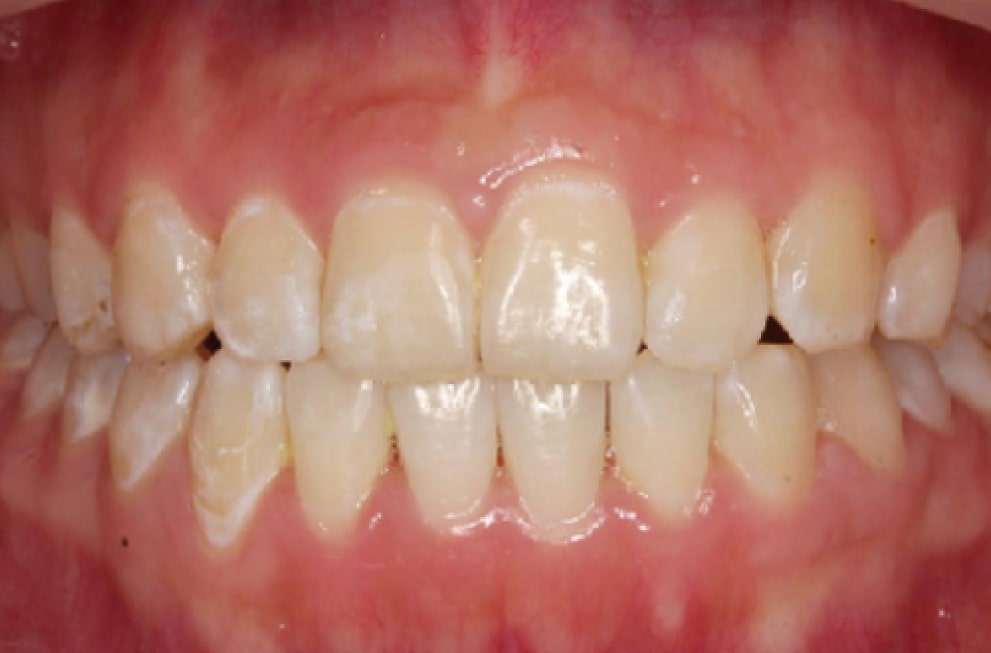
Deep Overbite + Lower Extraction
BEFORE
AFTER
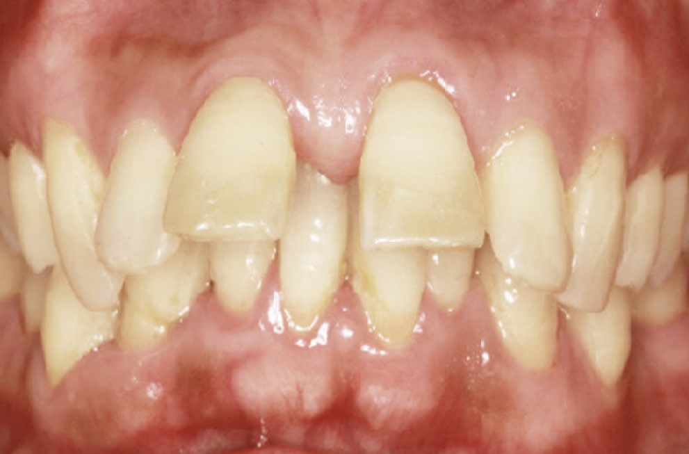
Underbite + Crossbite
BEFORE
AFTER
Open-Bite
BEFORE
AFTER
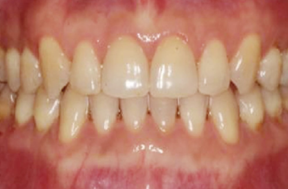
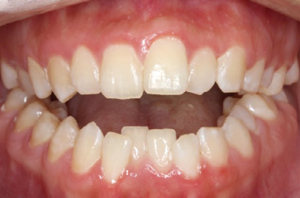
Deep Overbite + Lower Extraction
BEFORE
AFTER
Home
ยป
B2C Cases