
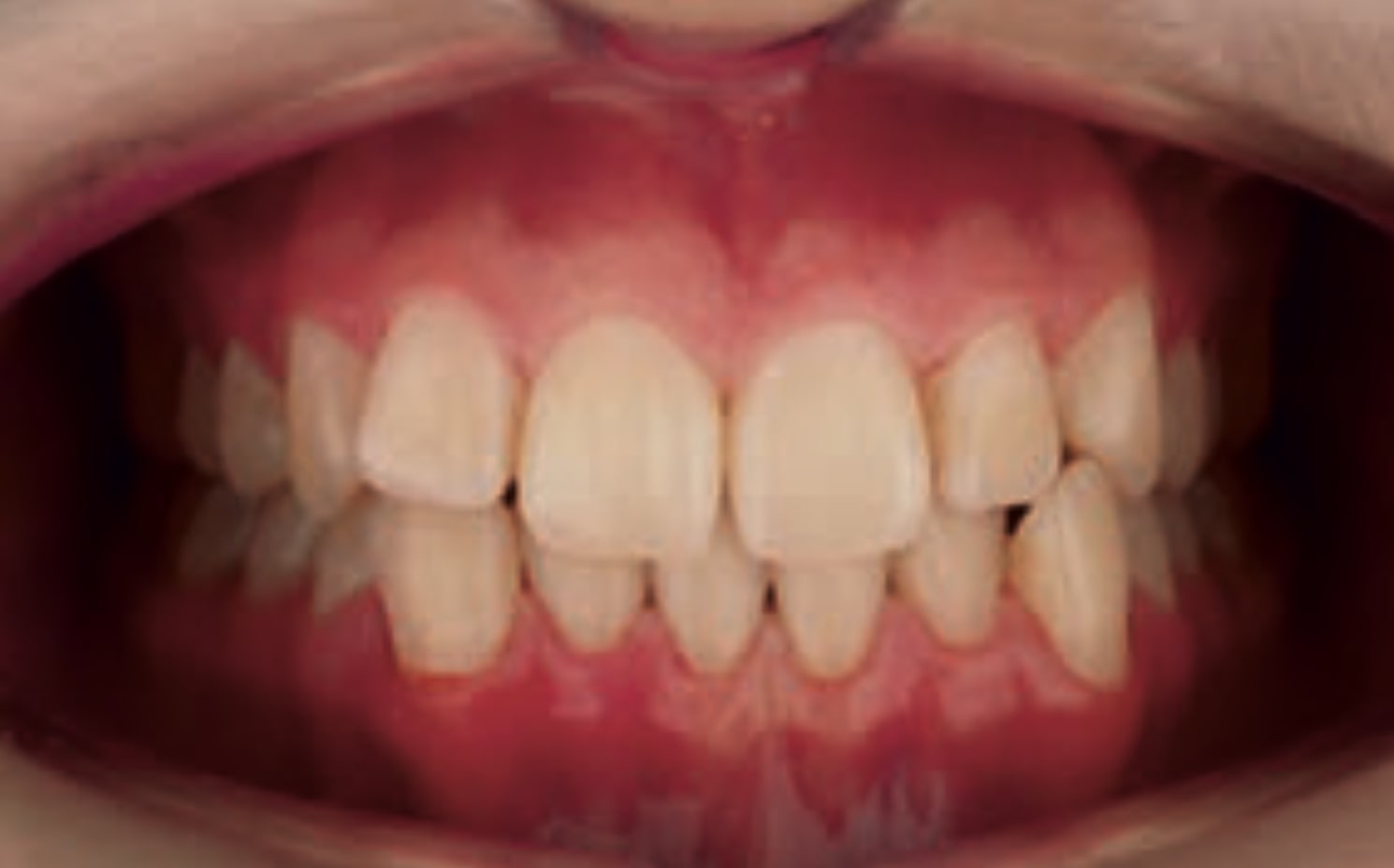
Correction of Class II Division 2 Malocclusion in Growing Patients using A6 Mandibular Advancement
Dr. Isabel Flores Allen
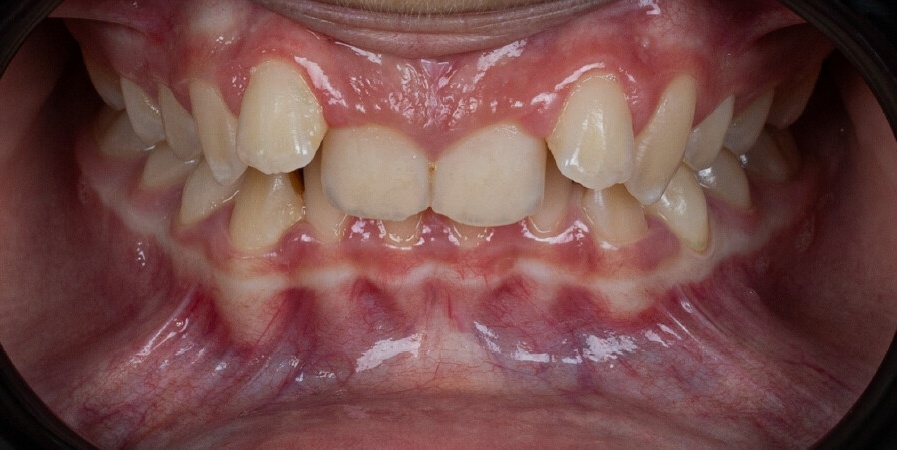
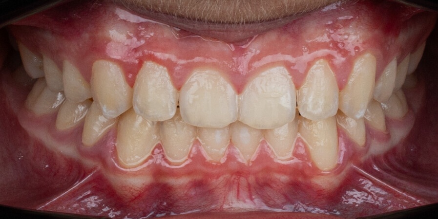
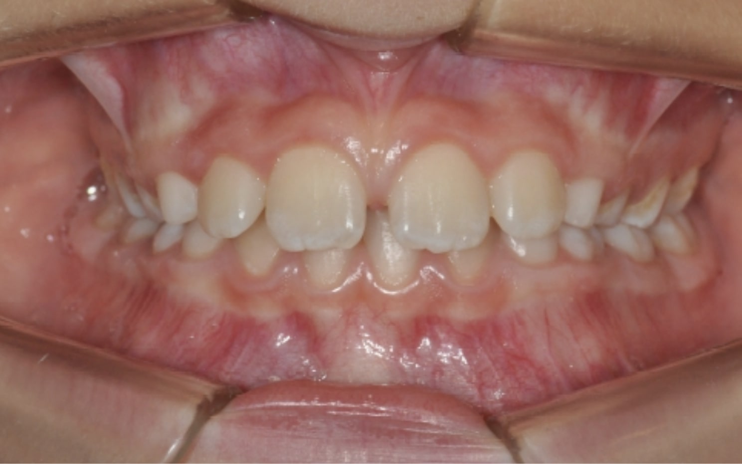
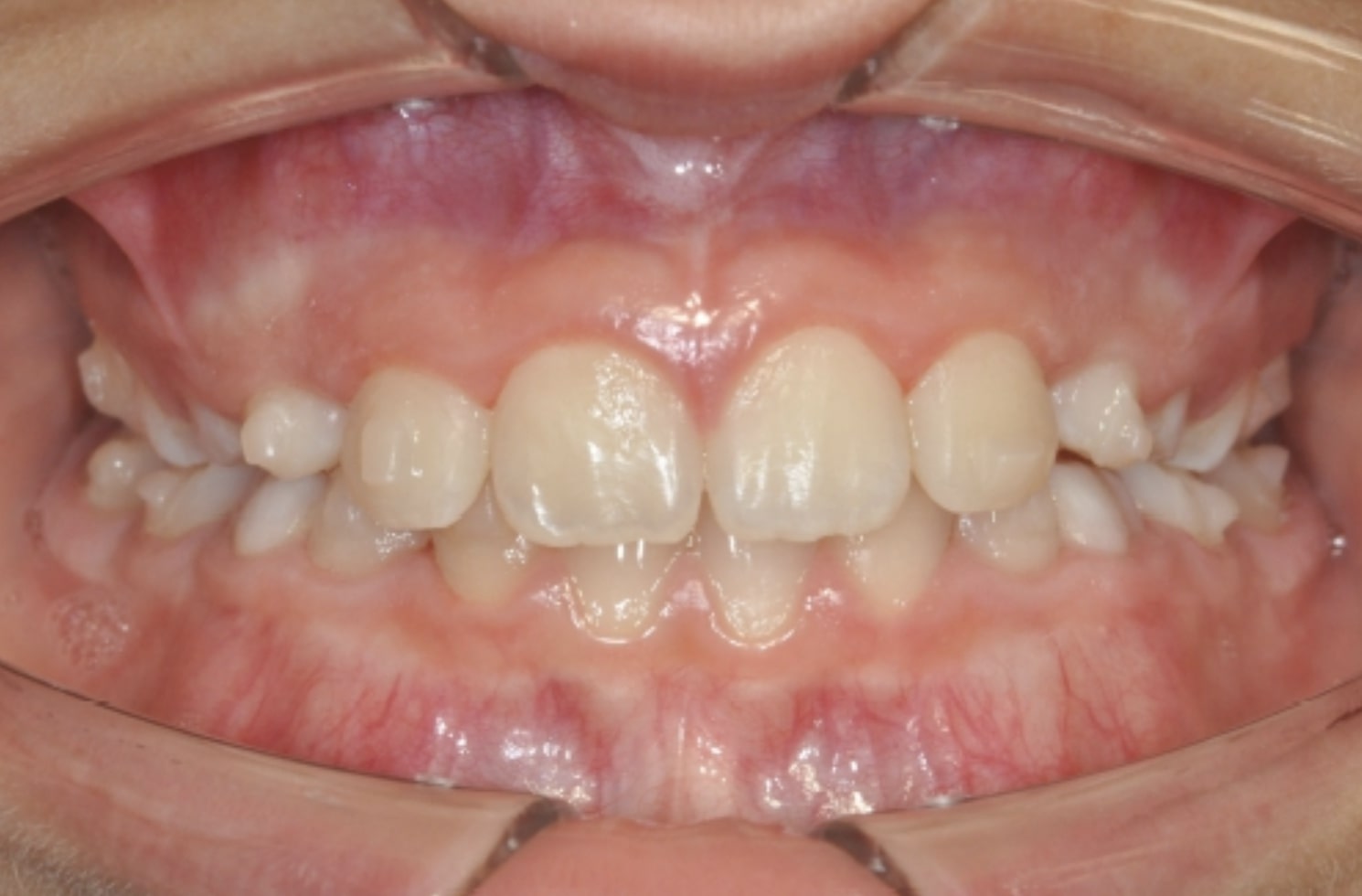
A 13-year-old patient with Class II Division 2 malocclusion and deep bite was treated using Angel Aligner A6 Mandibular Advancement. The protocol combined mandibular advancement, arch expansion, incisor intrusion, and refinement with Class II elastics, achieving functional bite correction and improved smile aesthetics in 10 months.



Angel Aligner PRO: Correction of a class II malocclusion with upper distalization using the A8 protocol and asymmetric virtual jump
By Dr. Romina Vignolo Lobato
This case, led by Dr. Romina Vignolo Lobato, showcases the treatment of a 12-year-old female patient with a Class II malocclusion. Using the Angel Aligner Pro system with the A8 protocol and an asymmetric virtual jump, the treatment achieved crowding resolution, bite correction, and improved facial profile in just 11 months with 30 aligners. The minimally invasive approach combined efficiency with precise control, delivering both functional and aesthetic results.



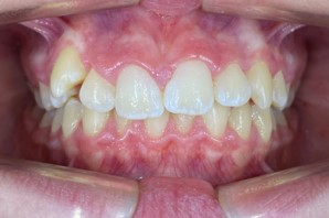
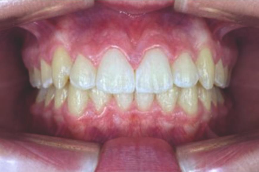
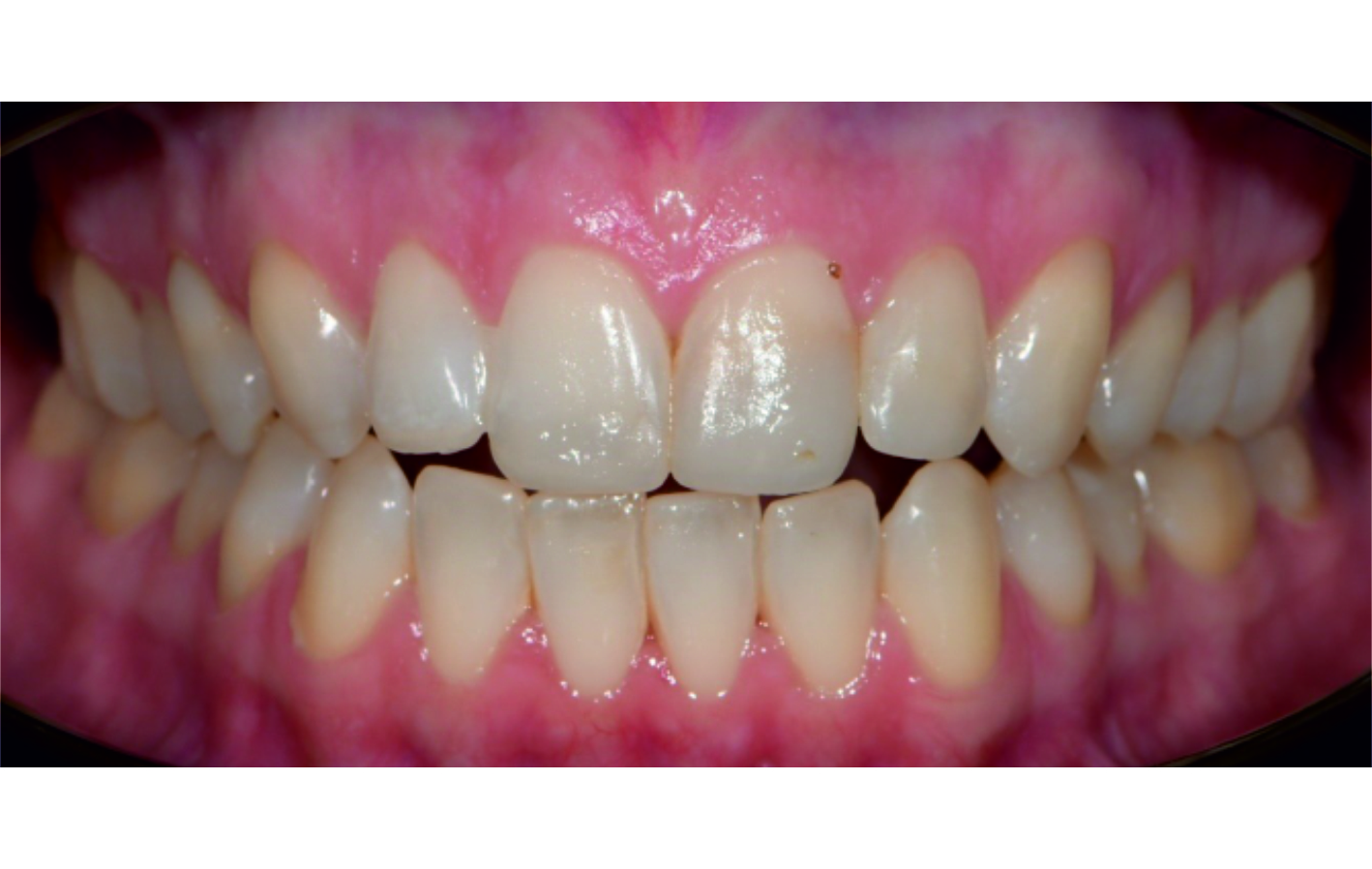
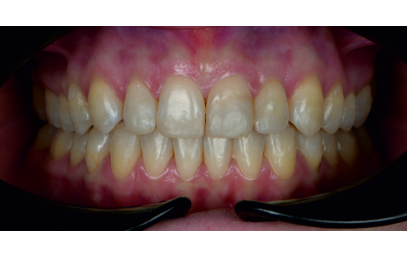
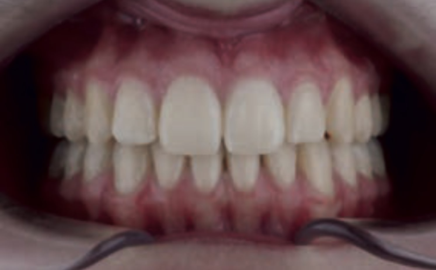
Correction of mandibular retrusion in growing patients with A6 mandibular advancement
By Dr. Giacomo Scuzzo
This case showcases an innovative approach to correcting lower jaw retrusion in growing patients using the Angel Aligner A6. The system combines orthopedic and orthodontic treatment into a single protocol, allowing simultaneous advancement of the lower jaw and alignment of teeth. With digital planning and aesthetic aligners, the treatment is both effective and comfortable for the patient. This case was managed by Dr. Giacomo Scuzzo



Angel Aligner PRO: Correction of a class II div 1 malocclusion
By Dr. Dalia Latkauskiene
This case, led by Dr. Dalia Latkauskiene, presents the treatment of a 25-year-old female patient with a Class II division 1 malocclusion. Using the Angel Aligner PRO system with dual-modality mechanics, the treatment achieved derotation of molars, midline correction, open-bite closure, and Class I settling. In just 12 months and 40 aligners, the approach delivered precise control, enhanced function, and a significantly improved smile.



Angel Aligner PRO: Correction of a class III malocclusion with lower molar distalization
By Dr. David González Zamora
Dr. David González Zamora successfully treated a 19-year-old female patient with skeletal and dental Class III malocclusion using Angel Aligner Pro. The 13-month treatment involved lower molar distalization, crossbite correction, and root alignment of lower canines—completed in 39 aligners with no refinements. The dual-material “7+3” system ensured precise control and efficient results.

