Correction of Class II Division 2 Malocclusion in Growing Patients using A6 Mandibular Advancement

Dr. Isabel Flores Allen

BIO Isabel Flores Allen

Dr. Isabel Flores Allen holds a degree in Dentistry, with postgraduate training and specialization in Orthodontics from CESPU University (Portugal). She also completed a Clinical Residency in Orthodontics at the University of Michigan (USA). She serves as Guest Professor in the Postgraduate Programs in Clinical Orthodontics and Introduction to Orthodontics at CESPU. Dr. Flores Allen is CEO & Clinical Director of IFA Clinic in Portugal and holds DHA licensure in Orthodontics, also practicing in Dubai. She was President of the Portuguese Society of Dental Aligners from 2018 to 2025, served as an Invisalign Speaker between 2017 and 2023, and has been a Key Opinion Leader for Angel Aligner since 2024. Dr. Flores Allen actively participates in international congresses, courses, and study clubs.

Patient introduction

Age: 13 years old

Gender: Male

Treatment time: 10 months

Number of aligners: 45

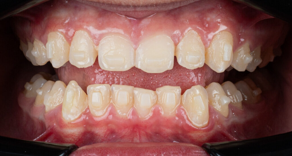
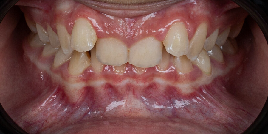
Chief complaint: The patient’s primary concerns were the gummy smile associated with a deep bite, and the limited space available for anterior alignment. He also expressed dissatisfaction with the position of the maxillary lateral incisors, describing them as being positioned “too high.”

Section Class II division 2 malocclusion

Product Select Unlimited

Malocclusion Class II division 2 with deep bite

Protocoles and features A6 Mandibular advancement

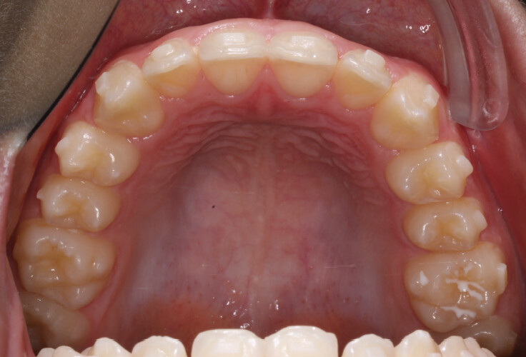
Initial Photos and datas

Clinical examination and diagnosis

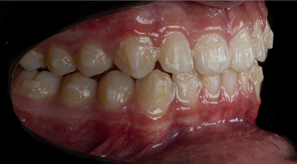
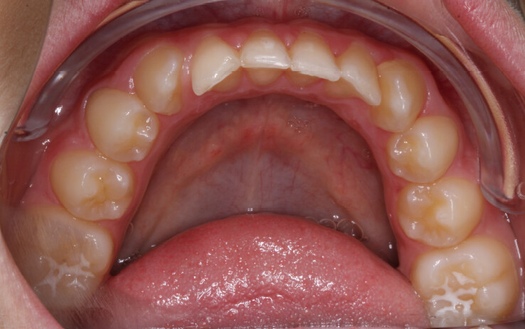
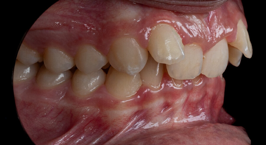
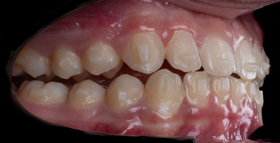
CLINICAL EXAMINATION:

A 13-year-old male patient presented with a deep bite, characterized by near-complete coverage of the mandibular incisors. Clinical evaluation revealed bi-arch crowding, dental rotations, and proclination of the maxillary lateral incisors, contributing to the patient’s esthetic concerns. The facial profile was retrusive, consistent with mandibular retrognathism, and no significant periodontal abnormalities were detected.

DIAGNOSIS:

The patient presented with a skeletal Class II relationship with bilateral molar and canine Class II and a Class II division 2 dental pattern. The deep bite was associated with anteroinferior crowding and an accentuated Curve of Spee. Facial analysis revealed good symmetry, a slightly increased lower facial third, and a convex profile characterized by mandibular and chin retrusion. Lip competence was mildly reduced, with a decreased nasolabial angle and mentalis hyperactivity, all of which compromised overall facial harmony.

Treatment plan

The treatment followed the Angel Aligner A6 mandibular advancement protocol, with the primary objective of achieving early correction of the sagittal discrepancy while simultaneously addressing dental alignment and transverse coordination.

The plan included:

  • Initiation of mandibular advancement from the 4th aligner using mandibular advancement blocks;
  • Arch expansion to resolve crowding and improve transverse coordination;
  • Selective interproximal reduction in the mandibular anterior region to create space and control incisor inclination;
  • Programmed intrusion of the maxillary central incisors to reduce the gingival display and correct the gummy smile;
  • Intrusion of mandibular incisors and canines to level the Curve of Spee;
  • Use of Class II elastics on Angel Buttons during the refinement phase to reinforce sagittal mechanics, introduced during the additional aligners stage.
Treatment details

The treatment was carried out using Angel Aligner clear aligners, with strict adherence to periodontal biological limits. Both maxillary incisor intrusion and transverse expansion were carefully monitored throughout the process to prevent any periodontal compromise. Mandibular advancement was initiated directly from the 4th aligner using advancement blocks, eliminating the need for a preliminary pre-advancement phase. The patient was at the CS3 stage of cervical vertebral maturation, corresponding to the pubertal growth spurt, a biologically favorable period for condylar remodeling and skeletal adaptation. A total of 35 aligners with advancement blocks were used, followed by 10 additional aligners incorporating Class II elastics on Angel Buttons to finalize rotations and alignment. With weekly aligner changes, the overall treatment duration was approximately 45 weeks (10 months), aligning with the expected biological timeline for condylar remodeling. For mandibular anterior intrusion, the Frog Protocol combined with interproximal reduction (IPR) achieved complete leveling of the Curve of Spee.

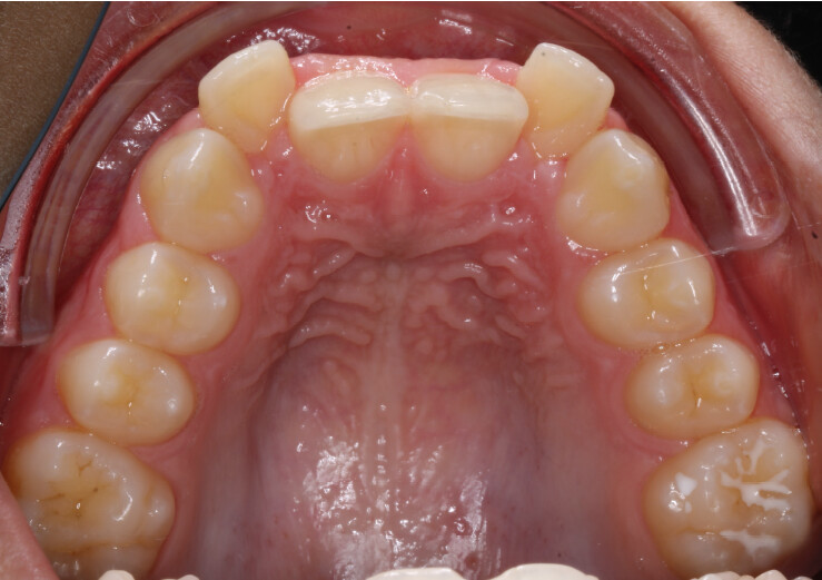
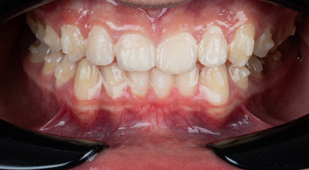
Treatment setup

Treatment progress

Download the full case to see the treatment results, the conclusion and get more details on the solution

To download this report, you agree to subscribe to the Angel Aligner newsletter. You can unsubscribe at any time in your settings centre.